For Clinicians

What Is Periodontal Endoscope?
A periodontal endoscope is a thin, flexible, and elongated instrument equipped with a miniature camera and a powerful light source at its tip. The endoscope is typically less than a few millimeters in diameter, allowing it to be gently inserted into the periodontal pockets surrounding the teeth. The camera transmits real-time, high-resolution images to a monitor, which both the clinician and patient can view.
The primary function of a periodontal endoscope is to provide clinicians with a detailed, close-up view of supra and sub-gingival tooth and root surfaces. This level of visualization is not possible with the naked eye or traditional dental instruments.
The real-time images allow for more accurate and early diagnosis of decay and fractures of tooth and root surfaces. Clinicians can identify the presence of these tooth problems, which is crucial for determining the appropriate treatment plan.
Periodontal endoscopes permit minimally invasive periodontal treatments. With this technology, clinicians can access and clean the periodontal pockets more precisely, removing debris, calculus, and damaged tissue without the need for more invasive surgical procedures. This approach reduces patient discomfort, chair time and accelerates the healing process.
The camera’s high resolution and lighting system offer precise control during procedures. Clinicians can target problem areas precisely, ensuring successful removal of biofilm and calculus.
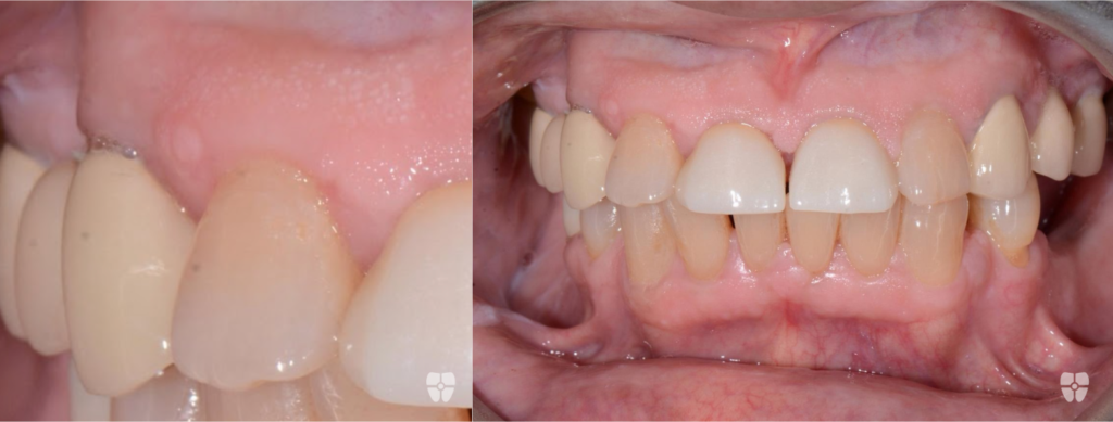
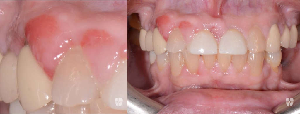
Improve gingival health through the expert removal of dental restoration cement such as crowns, veneers, and implants, ensuring a healthier oral environment.
The real-time visualization on the monitor allows patients to see the procedure, fostering better understanding and motivation for improved oral hygiene and compliance with treatment recommendations.
Unlock the potential for revenue growth by incorporating the periodontal endoscope, where a single patient can elevate your daily dental hygiene production averages.
The periodontal endoscope offers still images and video capabilities that can be shared with dental insurance for reimbursement, enhancing documentation for diagnostic notes and procedures.

“Empowering your practice with cutting-edge technology for consistently outstanding patient care.”
A periodontal endoscope is a valuable tool in the treatment of periodontal disease. It provides clinicians with enhanced visualization, accurate diagnosis, and the ability to perform minimally invasive procedures, all of which contribute to more effective treatment and improved patient outcomes in the realm of periodontal health.
We bring the technology to your office so you can provide your patient with optimal care that yields predictable results.
Why refer a patient out of your practice when you can care for them in the comfort of yours. Frequently, patients are referred to specialists, yet regrettably, they often fail to follow through with the recommendation.
With the use of a periodontal endoscope, harsh and expensive surgeries can be avoided.
Decrease pocket depth, increase health. Proven to provide 40% less bleeding on probing than traditional periodontal therapies.
Bring more to your practice by owning your own periodontal endoscope. Our training services provide you with the expertise to treat patients with confidence.